
Farragut Full-Arch Implants
We Make Getting
Your Smile Back Easy
Your Smile Back Easy
Put dentures in the past and say hello to a smile that feels authentically you. Long-lasting, fixed, and built to eat the food you love.

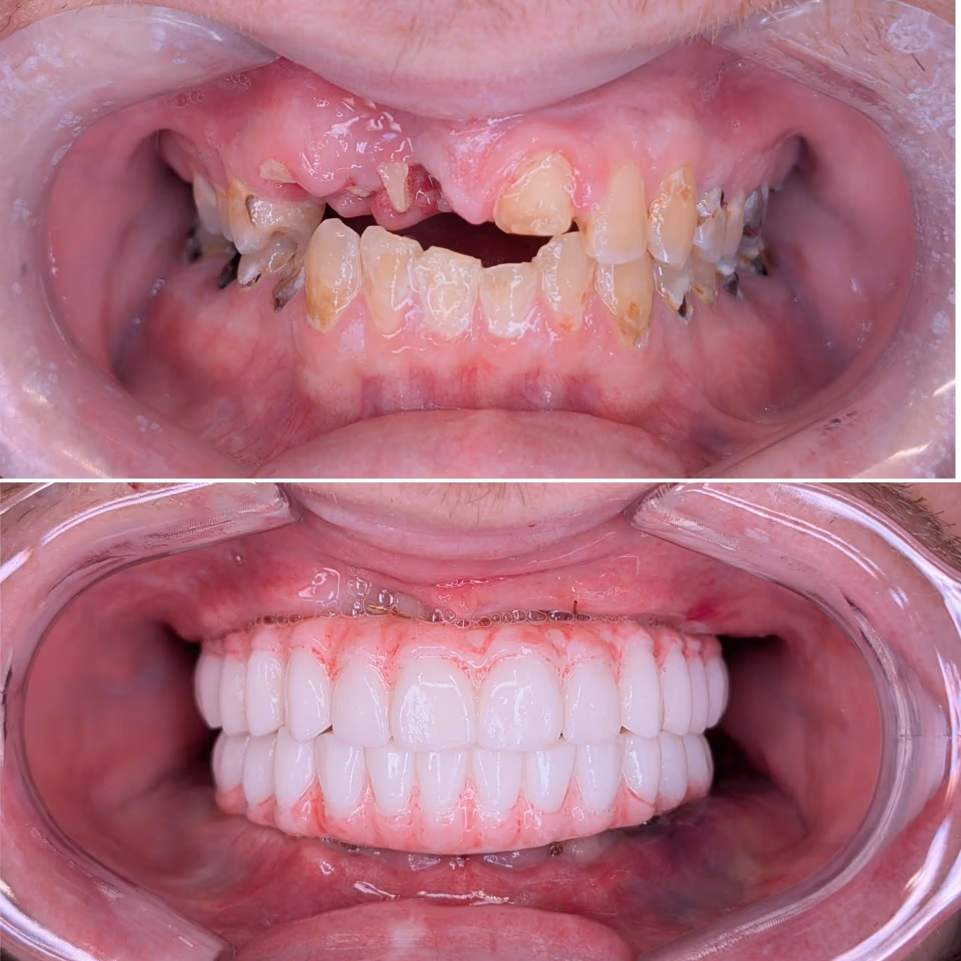
Robert
Restore Your Entire
Smile With Dental Implants
Full-arch implants offer a more secure and lifelike alternative to traditional dentures. Anchored to 4–6 dental implants that act as artificial tooth roots, these restorations are fixed in place and supported by your jawbone so they won’t shift, slip, or require adhesives.
At Confident Smiles & Implants, Dr. Luis and Dr. Tori Mariusso use advanced technology and a fully in-house workflow to deliver full-arch solutions that look natural, feel stable, and are built to last. If you're missing most or all of your teeth, we’re here to help you reclaim your smile with confidence. Schedule your consultation today.
Explore your options for missing teeth
We offer a range of tooth replacement solutions to fit your goals, comfort, and budget. Here’s how they compare—so you can make a confident choice.
Pricing varies based on your specific needs. The best way to get an accurate estimate is to schedule a consultation.
Removable or Fixed?
Let's compare your options.

Find out if you're a candidate for dental implants
Our quick smile survey helps us understand your goals and match you with the right treatment option—no pressure, just honest insight.
The Full-Arch
Implant Process
Implant Process
The benefits of
single-tooth implants
single-tooth implants


Long-lasting results
Dental implants will last for the rest of your life with proper care. This means full-arch implants last a lot longer than traditional dentures.

Improved stability
With full-arch implants, your teeth will be anchored to your jaw bone. This improves their overall stability, and ensures that you have less movement when you eat or speak.

Natural look & feel
Full-arch implants use tooth-like materials to create a more natural-looking smile, and since your implants are attached to your jaw, things like chewing and biting feel a lot more natural compared to traditional dentures.

Protects your oral health
After tooth loss, your jawbone naturally begins to shrink because it’s no longer stimulated by the pressure of biting and chewing. This bone loss can happen even if you wear traditional dentures. Full-arch dental implants, however, work differently. Because the implants act like tooth roots, they stimulate your jawbone every time you eat—helping to preserve bone density, maintain facial structure, and prevent that sunken-in look that often comes with dentures. By preventing bone atrophy, full-arch implants help you maintain a healthier, more youthful appearance.
FAQs
Find answers to common questions from our patients.
Still have questions?
We're here to help you!
What’s the difference between zirconia and 3D-printed bridges?
We offer two full-arch options: a 3D-printed resin bridge and a premium zirconia bridge. Our 3D-printed option is ideal for patients looking for a durable, cost-conscious solution with annual refreshes. Zirconia, on the other hand, is our most long-lasting and natural-looking option—resistant to chips, stains, and odor, and crafted to last for decades.
Why choose implants over traditional dentures?
While dentures may seem more affordable upfront, they often lead to long-term challenges like slipping, discomfort, and bone loss. Our implant solutions are more stable, support your jaw health, and restore over 98% of natural bite function—making them a better investment in the long run. We also offer transparent, all-inclusive pricing to help you plan with confidence.
What is the average cost of full mouth dental implants?
Nationally, full mouth dental implants can cost between $30,000 to $36,000 per arch. At Confident Smiles & Implants, our bundled packages start at just $15,000 per arch with every step included. That means diagnostics, surgery, temporaries, and your final restoration are all covered under one transparent price.
How do we keep our costs so competitive? It’s simple: our in-house dental lab and high volume of implants allow us to have lower pricing without compromising quality. Because we design, mill, and customize everything on-site—including our 3D printed and zirconia restorations—we eliminate third-party markups, reduce turnaround time, and maintain complete control over quality.
Your smile (and your investment) are worth it. Since pricing can vary depending on your oral health and the complexity of treatment, we recommend scheduling a consultation with our team. We’ll walk you through your options and provide a personalized treatment plan—with no surprises and no pressure.
Still have questions?
We're here to help you!




-Picsart-AiImageEnhancer.avif)






