



Cason had trouble with missing teeth and discomfort, but fixed implants gave him a durable and natural-looking smile.


Living with gaps and chewing difficulties, David transformed his smile with upper and lower fixed zirconia implants for a complete restoration.




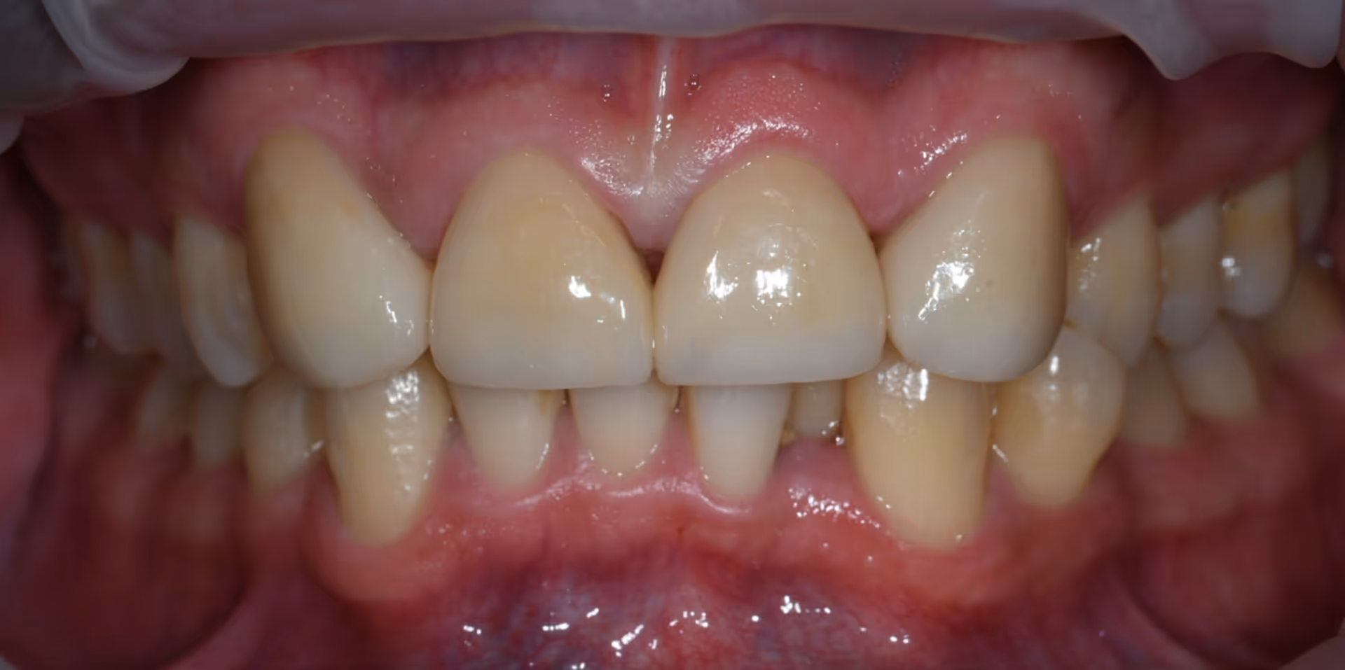
After years of dealing with tooth loss, Harold found new confidence with double arch fixed zirconia implants, bringing back both function and appearance.